Gastroenterology & GI Surgery
Practice-Changing Medicine
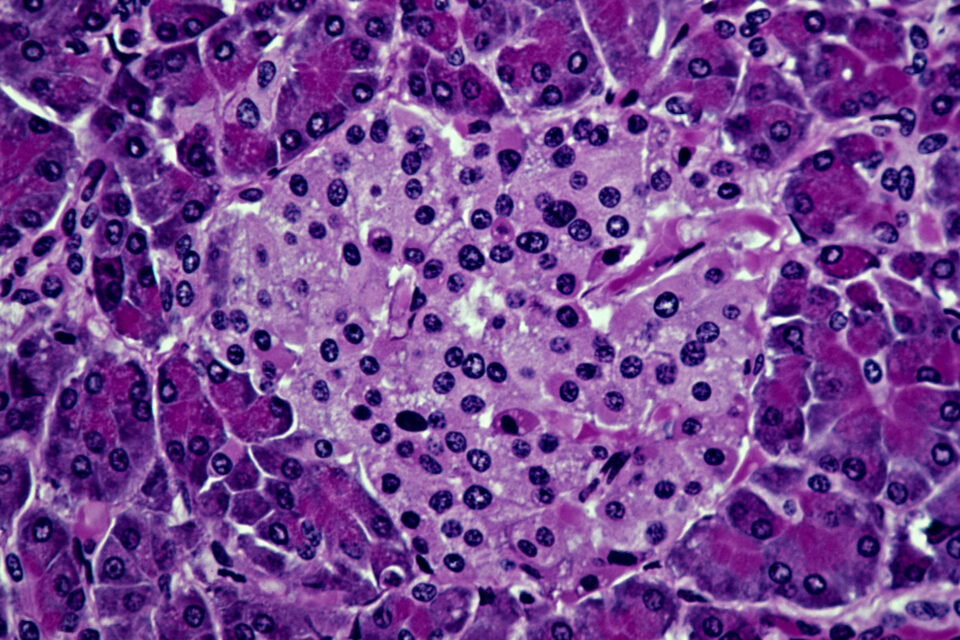
Auto-Islet Harvesting in the OR Aids Pancreatectomy Patients
NYU Langone’s new TPIAT program uses immediate intraoperative islet harvesting and reinfusion to reduce islet loss and the risk of type 3c diabetes.
NYU Langone Health:
A Leader in Gastroenterology & GI Surgery
Complex Case Spotlight
Robotic Whipple Offers Clear View of Complex Anatomy

The Best Experts and Latest Breakthroughs
Select your specialty to receive updates on our pioneering research, innovations, expert perspectives, case studies, practice-changing medicine, and more.